What can we do for YOUR smile?
-
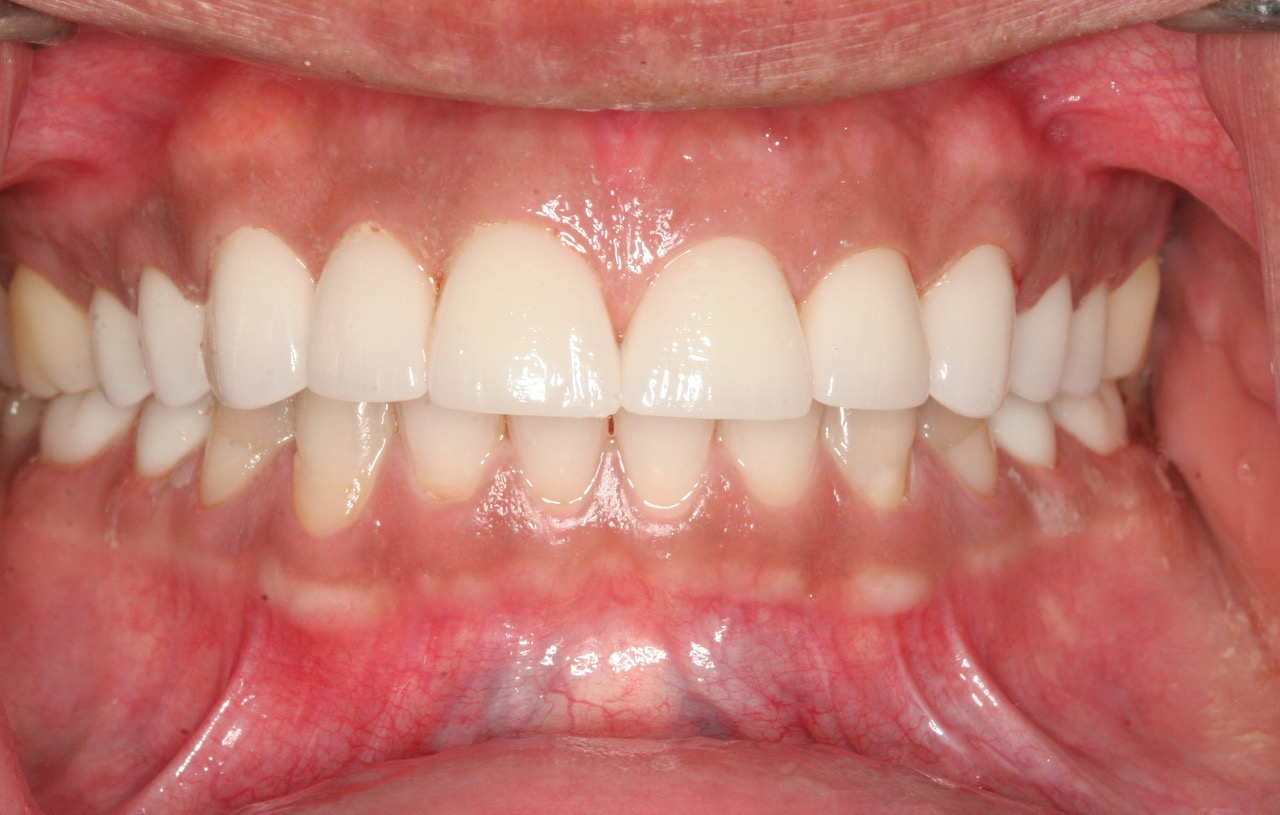
Before
After
Read about this restorationThis patient had generalized attrition and wear. In other words, the enamel was worn through to the dentin, exposing soft bone. A long term solution was to replace these areas with full coverage porcelain (crowns).
-
Before
After
Read about this restorationA Hawaii vacation gone wrong after being hit with an underwater camera. Rather than use a resin material, this patient preferred to replace the fracture with a porcelain veneer as it will be lower maintenance in the future. This patient also opted to complete a veneer on the adjacent front tooth for optimum shade matching.
-
Before
After
Read about this restorationResin material goes a long way – Years even. But with time, it does break down and replacement is necessary. This patient was tired of “patching” the gumlines on the upper teeth and replaced them with crowns – From the upper left premolar to the upper right premolar. Four gumline fillings we “freshened up” on the lower premolars.
-
Before
After
Read about this restorationThis patient has resin material on the upper front two teeth. Throughout the years, this material breaks down and can collect stain. Each time they are replaced, tooth structure is removed. This patient decided against additional “maintenance” resins and decided to replace with two porcelain veneers.
-
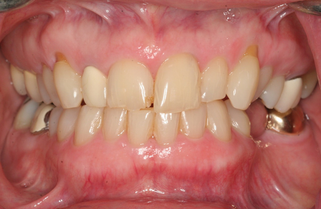
Before
After
Read about this restorationThis patient was unhappy with their “checkerboard” smile… Discolored gumlines on both upper canines, an old discolored crown, stained resins and chipping. We freshened up their smile with two gumline resins on the canines and four porcelain crowns.
-
Before
After
Read about this restorationThis patient shows significant erosion and wear, so far advanced that a resin material would not work in restoring this smile. Each tooth was replaced with a porcelain crown.
